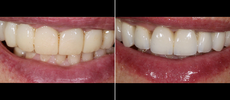
“After years of having older, aging veneers we removed everything and inserted 10 porcelain crowns to bring the teeth back up to the gum line, and hide the dark roots and black triangles. While the initial dentistry was done very well at the time, it was time to have it replaced! luckily we work with some great ceramists who execute the vision to bring her natural aesthetic back to life!”
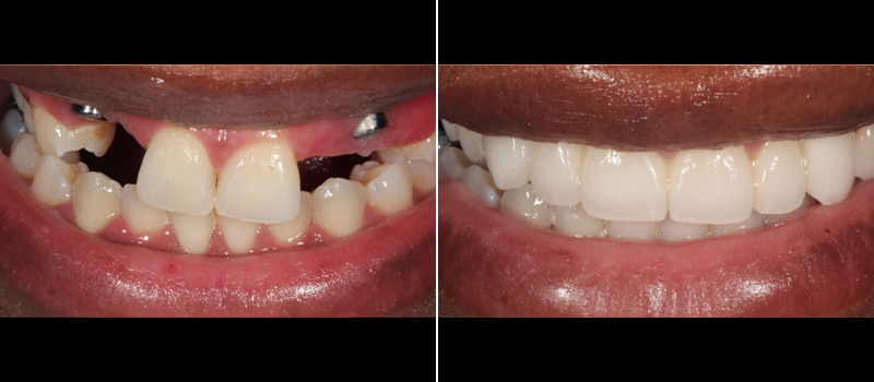
crowns were used to balance color, and shape to achieve a better smile
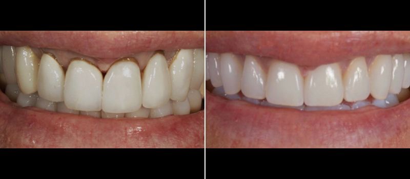
porcelain crowns. This patient wanted his teeth, just whiter. We had to remove decay from every tooth and eventually did 12 crowns to mimic his original teeth